1312 Drayton Street
Savannah, GA 31401
ph: 912 238 0342
fax: 912 238 3049
alt: 800 831 0863
dentalin
Using Digital Technologies To Enhance Your Restorative Outcomes:
Patient comfort, practice efficiency, and esthetic outcomes.
Clinician scans the Encode Healing Abutment, surrounding soft tissue, and adjacent dentition using the Cadent iTero Scanner and sends the file to DLA.
DLA approves the scan and forwards the scan along with a work order to Biomet 3i.
Biomet 3i imports the scan, creates a job, aligns the CAD abutment and designs a custom abutment.
Biomet 3i produces the geometry for a working model.
The custom abutment is milled at 3i and the model is milled by Cadent.
The abutment and model are sent to DLA for the fabrication of the definitive restoration.

iTero Scanner
iTero Scan
.
Biomet 3i Design
Geometry for Model
iTero Model
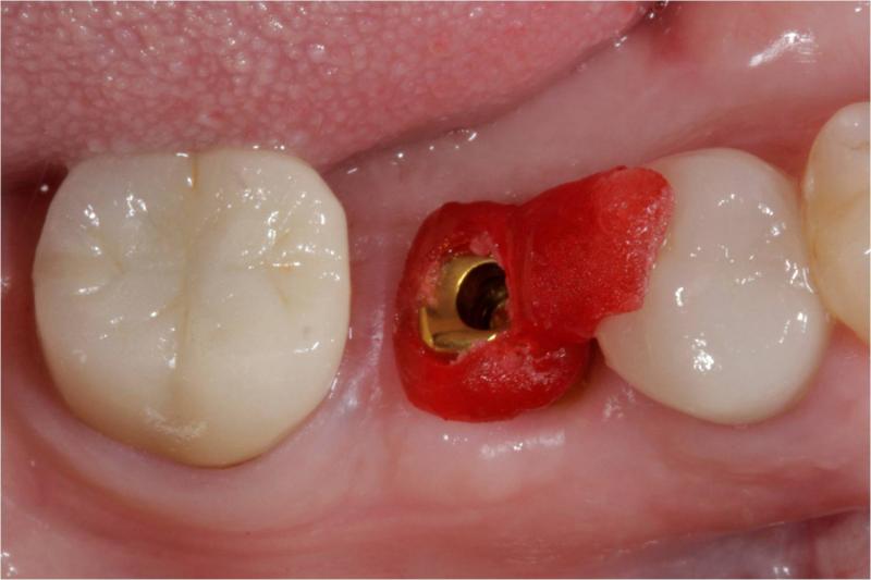
Encode Healing Abutment
Encode Abutment Seated With Index
Encode Abutment Seated
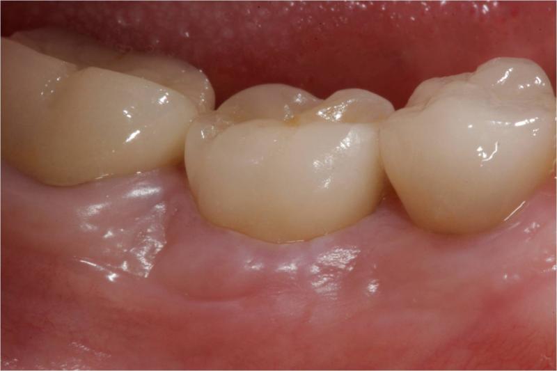
Finished Restoration
Dentistry:
Courtney Shelbourne
Amanda Seay
Copyright 2010 Dental Laboratory Associates, Inc.. All rights reserved.
1312 Drayton Street
Savannah, GA 31401
ph: 912 238 0342
fax: 912 238 3049
alt: 800 831 0863
dentalin